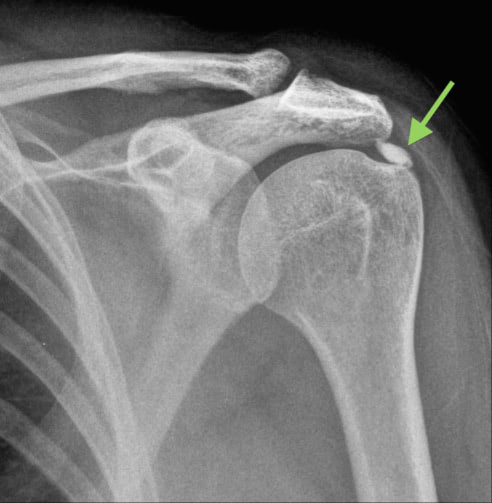
What is calcific tendinitis?
Calcific tendinitis, also known as calcific tendinopathy, is a condition where calcium deposits form in the rotator cuff of the shoulder. It occurs most often in the supraspinatus tendon, but can occur in any of the shoulder tendons, and even other tendons such as the elbow and wrist.

What is the cause of calcific tendinopathy?
The cause is unknown, but thought to be due to overuse of the shoulder that initiates the process of calcium deposition.
How common is calcific tendinitis?
This condition occurs in 3% of the population and up to 7% of people experiencing shoulder pain. It is more common in women than men, between individuals 30-60 years old.
What are the symptoms of calcific tendinitis?
- Shoulder pain or stiffness.
- Severe pain with shoulder movement
- Pain with weight bearing or sleeping on shoulder
- Reduced range of motion
- Shoulder and rotator cuff tenderness
What are the stages of calcific tendinitis?
- Pre-calcific
- This stage involves cellular changes in the tendon
- Calcific
- This stage involves the formation of calcium deposits
- Post-calcific
- Remodeling of the tendon occurs from type III to type I collagen
What are the risks of calcific tendinitis?
It was initially thought that this condition does not increase the likelihood of rotator cuff tears. However, a recent study has challenged this view, reporting that over half of those with calcific tendinitis had accompanying rotator cuff tears.1
What is the best treatment for calcific tendinitis?
In ~90% of cases, conservative management will help. The following are a list of treatment options:
- Non-steroidal anti-inflammatory medications (NSAIDs)
- Subacromial injection
- Physiotherapy
- Shockwave therapy
- Needle aspiration-irrigation
- Arthroscopic surgery
Reference




.png)